Management and Construction Procedure of Bilateral Split-Bucket Type Hip Disarticulation Prosthesis
Description
Collection
Title:
Creator:
Page Number(s):
Year:
Volume:
Issue:
Text:
Management and Construction Procedure of Bilateral Split-Bucket Type Hip Disarticulation Prosthesis
Peter A. Ockenfels, C.P.O. *
Abstracted from an article that originally appeared in the June, 1968 issue of Orthotics and Prosthetics.
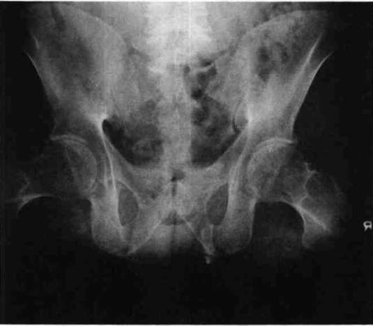
The patient, a 37-year-old white male, received traumatic injuries while involved in an auto accident in October 1965. Both limbs were severely crushed, and very high amputations were necessary. The physical appearance of the patient resembled that of a bilateral hip disarticulation amputee; however, closer examination and X-rays of the patient revealed that femoral neck and head were present bilaterally. The remaining skeletal structures of the femurs are approximately 3" on the left and 4" on the right side (Fig. 1).
The patient was first hospitalized at the Allentown Hospital in Allentown, Pennsylvania, and then became a patient at the St. Vincent's Rehabilitation Center in Erie, Pa. There he received initial rehabilitation training and became ADL independent.
On September 29, 1967 a prosthetic prescription for a definitive prosthetic unit was written.
"Modified bilateral hip disarticulation prosthesis with modified plastic split hip disarticulation buckets for bilateral use, Northwestern stride control hip joints, single axis knee units with positive locks and SACH feet."
The split bilateral hip disarticulation socket was prescribed with the hope that the patient would be able to advance one foot in front of the other and, consequently, walk with a semi-normal gait (taking full advantage of the remaining femurs). The stride control hip locks and positive knee locks were to give him stability during walking and stance.
Taking of the Cast
The negative mold of the patient's body was obtained by utilizing the Northwestern Type Four Point Suspension Technique. The patient was freely suspended approximately 3 feet off the floor in a double layer of 10" nylon stockinette and the body stocking conformed snugly to the patient's body (Fig. 2).
The outlines of the prosthetic socket and all bony protuberances, such as the remaining femurs, the anterior superior iliac spines, the iliac crests, and the ischial tuberosities, were carefully marked with indelible pencil. Four inch fast setting plaster-of-Paris bandages were used for the cast. A rope of plaster-of-Paris bandage was pulled in deeply proximal to the iliac crests to supply suspension of the socket.
After the plaster bandage was applied, the patient was lowered onto a stool until the ischial tuberosities were bearing moderate pressure and the patient's position was stable. Plumb lines on the anterior, posterior, and lateral midlines were drawn. The cast was then split anteriorly and posteriorly and removed from the patient's body (Fig. 3).
Filling of the Negative
The anterior and posterior openings were sealed and the negative was positioned on a table and all four vertical reference lines were aligned with a level. A 3/4" pipe was positioned and aligned with the four reference lines using a special holding device. The filling of the negative proceeded in the usual manner.
After hardening of the plaster, the reference lines were punctured with an awl and marked on the top surface of the cast. The lateral reference lines were used to establish fictitious trochanters bilaterally.
These trochanters were located 1 1/2" proximal from the distal end of the cast. A 45° triangle was cut from 1" thick plywood. The lines for positioning of the hip joints were marked by locating the plywood triangle exactly on the previously marked trochanters with the lower point anterior. The plaster-of-Paris bandage was then removed from the male mold.
Modification of the Male Mold
All reference lines punched with the awl were connected and retained. All marked bony protuberances were built up with plaster of Paris to approximately 3/8" to 1/2". Trimlines of the socket were drawn. These consisted of a proximal brim approximately 3/4" below the rib cage and anterior and posterior teardrop openings, 4" by 5", connected to each other distally by a channel 1 inch wide. The cast was then smoothed and the trimlines built up and molded to a flare of approximately 3/4" radius. This was for the patient's comfort.
The mold was then allowed to dry in an oven for 24 hours at a temperature of 115°F. Then it was positioned in a vise exactly 45°, using a specially milled 45° steel positioning block so that the trochanteric reference lines were vertical. The alignment of both lines was checked with a plumb line. Two cardboard cylinders, 4" in circumference and 3" high, were taped to the cast, keeping the hip joint reference lines exactly centered. Both cylinders were covered on top, and only a hole the size of a quarter was left open on each cylinder through which the liquid foam was poured.
Hip Joint Mounting
The top of each block was cut square and level with the ground and as close to the mold as possible. The hip joint mounting reference lines were marked on the blocks, and both hip joints positioned. The outline of the base plates was marked, and the foam blocks were shaped to blend in with the entire cast. The base plates were attached with plaster of Paris, and the entire foam build-ups sealed with plaster of Paris. An extra build-up of plaster of Paris of approximately 3/4" thickness was provided over the entire seat area, which would later give space for a foam (silastic) seat pad. The cast was now air dried.
Fabrication of the Socket
The model was prepared for vacuum lamination, smoothed, lacquered, and a PVA sleeve applied. The first lamination consisted of four layers of 8" nylon stockinette and polyester resin (90% 4110 - 10% 4134). After this lamination was completed, the entire surface was roughened with coarse sandpaper and a reinforcement of nine feathered layers of fiber glass cloth and epoxy resin (C-8) applied over each hip joint attachment area. A final layer of three layers of stockinette and polyester resin completed the lamination process.
The completed socket was removed from the model, cut to the trimlines, and all edges were smoothed. The foam blocks and plaster of Paris build-ups were carefully removed, and the entire cast smoothed, lacquered, and greased. The interior hip joint mounting plates were attached with two screws, leaving one screw hole and a 3/8" center hole open for injection of the silastic. The two half sockets were repositioned on the model and the silastic, 25% 385 and 75% 386, was injected into each side. After curing of the silastic the two halves were removed and the hip joints and thigh block installed.
Alignment and Fitting
The prosthetic feet were set up so that a reference line from the hip joints through the knee bolts would fall 2 1/2" posterior to the heel of the shoes. Subsequently during dynamic alignment this was increased to 3 inches.
The height of the knee centers was set so that the patient would be able to sit in a normal chair with both feet flat on the floor (Fig. 4). Two cork seat blocks had to be added to the seat of the sockets to bring the patient up to a normal and level sitting position.
A prelaminated flexible plastic tongue provided a closure of the anterior opening of the socket. Buckles and Dacron-reinforced leather straps were used instead of Velcro straps as the Velcro straps would be too inconsistent. The posterior opening of the socket was closed with a 4" by 6" by 1/8" Ortholene flexible hinge, so that the patient could walk with his semi-normal gait (Fig. 5).
From the knee units, cables complete with housing and retainers were brought up laterally within easy reach of the patient's hands. For unlocking they hook onto small stainless steel hooks. The stride control hip locks were to lock automatically when the patient stood up. The patient is indeed able to ambulate, advancing consecutively one foot after the other. Ascending and descending stairs is accomplished by the patient hoisting himself on the banisters (Fig. 6, Fig. 7). After the patient became more skilled in ambulating, and due to the extreme stability, the hip stride control locks were removed and stride length control straps substituted, giving the patient a somewhat longer step.
The patient was followed by the author for approximately two years, during which time he was wearing his prosthesis extensively.
After one year he was fitted with a bucket-type prosthesis which was distally closed and not used as a split socket prosthesis. A platform was attached to this socket, and carpet rollers were used so that the patient could perform some mechanic's activities closer to the floor. He propelled himself with his hands, and used padded leather gloves for that purpose.
*Peter A. Ockenfels, C.P.O. American Orthotic &Prosthetic Laboratory, Inc., Columbus, OHFull Text PDF:
Figure 1:
Figure 2:
Figure 3:
Figure 4:
Figure 5:
Figure 6:
Figure 7:
Review Status:
Citation
Peter A. Ockenfels, C.P.O. * , “Management and Construction Procedure of Bilateral Split-Bucket Type Hip Disarticulation Prosthesis,” Digital Resource Foundation for Orthotics and Prosthetics, accessed December 14, 2025, http://23.254.134.177/the.oandplibrary.org/items/show/179407.
