Orthotic Correction of Blount's Disease
John M. Mazur, M.D. *
Description
Collection
Title:
Creator:
John M. Mazur, M.D. *
Page Number(s):
Year:
Volume:
Issue:
Text:
Orthotic Correction of Blount's Disease
Terry J. Supan, C.P.O. *
John M. Mazur, M.D. *
Introduction
Infantile tibia vara is the result of abnormal growth in the proximal tibial epiphyseal late of the tibial plate. Blount first identified the condition as osteochondrosis deformans tibialis in 1937. Clinically, tibia vara presents itself as a severe bowing of the proximal tibia, without the associated bowing of the tibial shaft or the femur, which is evident in physiological bowleg. On radiological examination of the child with tibia vara, a beaking of the medial aspect of the tibia metaphysis is noted. In 1964, Langenskiold and Riska developed a grading system for chronologically staging the development of the Blount's disease. Mitchell, et al. advocated the use of the epiphyseal metaphyseal angle (E-M angle) as a simple quantitative measurement for Blount's disease in 1980. This method is useful to determine the severity of the disease and monitor treatment.
Historically, the use of orthotic management in the correction of Blount's disease has not proven to be as successful as hoped. The lack of correction and increased laxity of the joint capsule of the knee have been the main reasons for not continuing with orthotic management. To this point, the treatment of choice for individuals with Stage IV or an E-M angle of greater than 30° has mandated that the child undergo one of several types of tibial osteotomies. Because of the high incidence of complications and the recurrence of the condition, the authors felt that a new orthotic approach should be investigated. The result of that investigation has been the development of a knee-ankle-foot orthosis. This orthosis has successfully been used in seven cases of Blount's disease.
Orthotic Design
Previous orthoses used in the treatment of Blount's disease have been either a KAFO with a medial side bar only, or a KAFO with bilateral side bars. The medial side bar KAFO incorporated a varus corrective knee pad. The bilateral side bar orthosis is essentially a passive device to maintain the existing condition and to prevent it from getting worse. Neither system has proven to be completely successful in the treatment of Blount's disease.
The design criteria established for the development of the knee-ankle-foot orthosis consists of the following:
-
The design must correct the varus deformity of the tibia.
-
The medial joint capsule should not be distributed by the orthosis.
-
Forces should be applied directly to the tibia and not the full length of the limb.
Because the patient is a growing child, it must be adjustable for growth as well as easily cleaned by the parents. The knee-ankle-foot orthosis which the authors have developed has met all of these criteria.
Stress to the medial joint capsule was prevented by using an inversion of the supracondylar suspension technique used for below knee prostheses. By having a medial thigh section extend beyond the joint space to the area of the medial tibial condyle, we were able to reduce the possibilities of applying stress to the joint space itself (Fig. 1).
Figure 1. Bilateral KAFO's for Blounts with stainless steel medial side bar, thermoplastic femural section, and elastic tibial strap. Femural section protects the knee joint while the elastic applies maximum force to the apex of the tibial curve.A dynamic system was used to apply corrective forces to the tibia. The use of an elastic material to provide dynamic forces has been well documented. A six-inch wide elastic gusset material with velcro closures provided an adjustable and continuously applied force to the tibia (Fig. 2). The maximum force applied to the limb with the elastic material is at the apex of the curve (Fig. 1). This allows the maximum amount of correction with minimum amount of force. The velcro allows easy removal for laundering. All orthoses are provided with two sets of elastic straps.
Figure 2. Cross section of leg and orthosis at mid-tibial level. The relationship of the sidebar, elastic, velcro, and limb are shown.The orthosis needed to be strong and adjustable because these children are growing and extremely active. The side bars are made of stainless steel which overlap for growth adjustment only between the knee and ankle (Fig. 1). The knee-ankle-foot orthosis was not made adjustable proximal to this area in order to maintain the tibial extension of the thigh piece in its proper relationship to the tibial condyle. The patient's foot is maintained in a high top shoe which is attached to the medial side bar by means of a free ankle stirrup.
Prescription Criteria
The E-M angle is used to determine whether the patient meets the criteria for orthotic management of the Blount's disease. The E-M angle is measured on an anterior/posterior x-ray of the knee. To construct this angle, a line is first drawn through two points on the base of the proximal tibial epiphysis, selecting the first point at the base of the normal lateral side of the epiphysis and the second medial point as far away from the lateral side as possible, but at the base of the normal non-depressed epiphysis. Next, determine the midpoint at the base of the epiphyseal center, then draw a second or metaphyseal line from the medial tip of the metaphyseal peak to the midpoint of the epiphyseal center (Fig. 3). If this E-M angle is equal to or greater than 20°, then orthotic intervention is recommended. Mitchell et al. determined that the mean E-M angle for normal children was 3°-11°. Orthotic management is maintained for a minimum of nine months and at such time as the E-M angle is less than 15°. If the child is over eight years of age, orthotic correction will not be achieved. Based on our experience, orthotic management in stages I through III tibia vara can be effectively corrected with orthotic management. Aggressive treatment is necessary to achieve these results. Stages IV and V Blount's Disease and children over eight years of age need surgical treatment.
Figure 3. Method of measuring the E-M angle.Case Study
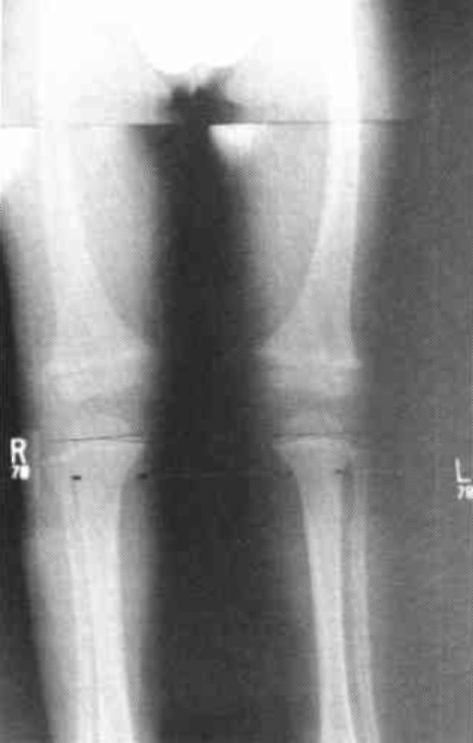
A white male, age 3, was presented at the orthotic clinic by his parents because of bowing of his right lower extremity (Fig. 4). Clinical examination showed bilateral tibia vara. Bilateral standing AP radiograms were obtained. The E-M angle determined on these radiograms was 20° bilaterally (Fig. 5). The child was fitted with the bilateral KAFO's (Fig. 6A) and a new set of standing AP radiograms was obtained which showed no difference in the E-M angle at that time (Fig. 6B).
Figure 4. Clincal appearance of B.D. at age 3 with bilateral Blounts Disease.Figure 5. Standing A/P radiograms show E-M angles of 20° bilaterally.
Figures 6A (top) and 6B (bottom). B.D. fitted with bilateral KAFO's. X-rays show no change at time of fitting.
For the next six months, B.D. wore his bilateral KAFO's 23 hours a day with the knee joints in the locked position during weight bearing. After one week's wearing time, the patient no longer objected to wearing the devices and adapted his lifestyle accordingly. No restrictions were placed on the child concerning his daily activities.
At his six-month checkup, new radiograms, both in and out of the KAFO's, were obtained. The E-M angle at that time was determined to be 15° bilaterally. Clinically, the child appears to have less bowing of his tibia as well. It was determined at that time that the side bars needed to be lengthened, which was done. It was decided that the parents could then allow the child to use the orthoses in the unlocked position during the daytime, but to return to the locked position at night. Because of growth of the child's feet, a shoe change was necessary.
At nine months, the patient was again presented to the clinic. Once again the orthoses were lengthened (Fig. 7). New standing AP radiograms were also obtained, showing no significant alterations from the previous exam at six months (Fig. 8). Day use of the KAFO was discontinued.
Figure 7. Sidebars were lengthened twice during the treatment period. One shoe transfer was also completed.Figure 8. Radiogram taken after 9 months of treatment show an E/M angle of less than 15° as well as less bowing of the tibial shaft.
The patient returned for a twelve-month evaluation. No significant changes had occurred clinically in the patient's extremities (Fig. 9), thus use of the orthoses was discontinued.
Figure 9. Orthotic treatment discontinued after 12 months. Clinical examination shows normal lower limbs.Summary
This successful use of orthotic management in the early stages of Blount's disease has been proven at Southern Illinois University School of Medicine. An orthosis was designed to specifically meet the established criteria of correcting the tibial deformity, reducing the stress on the medial joint capsule, and allowing adjustability for growth. The device has been used in seven cases of tibia vara with excellent results in all cases. The E-M angle of the affected tibias have been reduced to less than 15°. Aggressive treatment in the early stages of Blount's disease will reduce the necessity of tibial osteotomies with their significant level of complications.
References:
- Blount, W.P., "Tibia vara osteochondrosis deformans tibia," J. Bone Joint Surg., 19, 1-29, 1937.
- Langenskiold, A.N., Riska, E.B., "Tibia vara osteochondrosis deformans tibia: a survey of seventy-one cases," J. Bone Joint Surg., 46-A, 1405-1420, 1964.
- Mitchell, E.I., Chung, S.M.K., Dask, M.M., Greg, J.R., "A new radiographic grading system for Blount s disease," Orthopaedic Review, Vol. 9, No. 9, 27-33, 1980.
- Steel, H.H., Sandral, R.E., Sullivan, P.D., "Applications of tibial osteotomy in children for genu varum or val gum," J. Bone Joint Surg., 53-A, 1629-1635, 1971.
- Marschael, K., Nitschke, R., "Principles of the patellar tendon supracondylar prostheses," Orthopaedic Appl. Journal, Vol. 21, No. 1, 33-38.
- Clancy, J., Landseth. R.E., "A dynamic orthotic system to assist pelvic extension: A preliminary report," Orthotics and Prosthetics, Vol. 29, No. 1, 3-9, March, 1975.
*John M. Mazur, M.D. John M. Mazur, M.D., Associate Professor, Department of Surgery, Division of Orthopaedics and Rehabilitation, Southern Illinois University School of Medicine.
*Terry J. Supan, C.P.O. Terry Supan, C.P.O., Instructor, Department of Surgery; Director, Orthotic/Prosthetic Service, Southern Illinois University School of Medicine, Room 102, 707 North Rutledge Street, Springfield, Illinois 62702.Full Text PDF:
Figure 1:
Figure 2:
Figure 3:
Figure 4:
Figure 5:
Figure 6:
Figure 7:
Figure 8:
Figure 9:
Review Status:
Citation
Terry J. Supan, C.P.O. * John M. Mazur, M.D. * , “Orthotic Correction of Blount's Disease,” Digital Resource Foundation for Orthotics and Prosthetics, accessed December 14, 2025, http://23.254.134.177/the.oandplibrary.org/items/show/179564.
