Passive Mobilization: An Orthotist's Overview
Mel Stills, C.O. *
Description
Collection
Title:
Creator:
Mel Stills, C.O. *
Page Number(s):
Year:
Volume:
Issue:
Text:
Passive Mobilization: An Orthotist's Overview
Dwain R. Faso, C.O. *
Mel Stills, C.O. *
Introduction
The application of passive motion in orthopedics has brought a new dimension to an old concept for the treatment of musculoskeletal problems. It is now recognized that the adverse effects of immobilization such as joint stiffness, poor articular cartilage nourishment, and collagen loss can be reversed by prolonged passive mobilization. R.B. Salter demonstrated significant results with his experimental work in the healing of osteochondral defects in rabbits subjected to continuous passive motion. R.D. Courts followed with clinical experiences of improved range of motion after total knee replacements. The indications for passive motion have since broadened to include knee ligament reconstructions, injuries about joint, fractures, dislocations, joint sepsis, and many others.
The orthotist is often consulted for evaluation of passive motion devices, their set-up, adaptation, and implementation with fracture orthotics, external fixation, and traction. This article will provide an overview of passive mobilization as supplement to the practitioner's data base and present a variety of clinical situations encountered in the Dallas area at a large trauma and reconstruction center.
Background
For centuries, the clinician has vacillated between the uses and benefits of rest versus motion in the management of various disorders and injuries involving body joints. Rest or motion have been the most prescribed forms of non-operative treatment, yet the controversy of indication, duration, and value of each is far from being resolved.
In the teaching of Hippocrates, the injured body was to be at 'rest and lie up.' His use of splints in musculoskeletal injuries assured rest. With the impregnation of bandages with plaster of Paris in 1852 by Flemish surgeon Antonius Mathijsen, immobilization took on a new form. The use of plaster casts in treating trauma and injury unquestionably assured the concept of immobilization by orthopedic surgeons for the next 130 years with little examination of the potential damage to articular tissue. Additional support of the rest concept was led by the British surgeon Hugh Owen Thomas. His doctrine of rest was to be complete, prolonged, uninterrupted, and enforced. This was accomplished through the use of splints of his own design, many of which are still in use today with minor modifications. Thomas' immobilization techniques routinely included uninjured joints above and below the fracture site.
The mobilization concept found its roots in the Aristotelian teaching that movement is life. In the late 1900's, a school of mobilization took on a significant form through its advocate, Dr. Lucas-Champonniere. This French surgeon supported the use of massage and motion as a means of preventing muscle atrophy and joint contracture during management of fractures and joint injuries. He believed that motion helped to relieve pain rather than to aggravate it. The use of balanced skeletal traction for fractures involving joint surfaces, initiated by Professor George Perkins, emphasized active motion in the realignment of fragments and prevention of stiffness.
In the 1950's, the 'movement is life' principle found a resurgence under the guidance of the Association for Osteosynthesis (AO). They coined the term "fracture disease" for the chronic edema, joint stiffness, muscle atrophy, and disuse osteoporosis found in the treatment of fractures with immobilization. The AO group's technique of open reduction, rigid internal fixation with compression, and no casting encouraged early mobilization and provided a significant aggressive treatment. Apley, Dehane, and more recently Mooney and Sarmiento advocated the closed functional treatment of fractures through the use of cast bracing. Although these two methods vary, both preserve joint motion and encourage early function.
Continuous Passive Motion
The human body has evolved and developed into an organism that needs to move in order to maintain optimum efficiency. When the body is immobilized, the overall physical fitness declines rapidly: the heart rate decreases, and cardiac output no longer rises sufficiently during even mild activity; the upright position is poorly tolerated; the nervous system response slows; calcium is released by the immobilized skeleton and is excreted in urine, reflecting the extent of bone loss; muscle atrophy occurs with the reduction of fiber size, thereby resulting in the decline of tensile strength and energy absorption capacity; and the immobile body loses three percent of its original strength per day in a linear fashion for the first seven days, after which little strength is lost.
The joints of the body are especially susceptible to immobilization. The articular cartilage layers depend on synovial fluid for nutrition. Motion makes for constant interchange of fluid between the layers of articular cartilage and synovial fluid. Joint motion causes alternating cartilage compression and distention. The absence of these pressure fluctuations causes a stagnation of intercellular fluid and a decrease in nutrition.
Surprisingly, the adverse effects of immobilization on the human body generated little interest for evaluation. In the 1960's, Salter began investigation on the effects of immobilization versus mobilization on articular tissue in rabbits. His studies produced significant laboratory evidence that continuous passive motion offered startling benefits in the articular repair process in knee joint injuries compared to the routine care of immobilization. Salter's conclusions for his first 12 years of experimentation are:
-
Continuous passive motion (CPM) is well tolerated and seems to be relatively painless.
-
CPM has a significant stimulation effect on the healing of articular tissue, including cartilage, tendons, and ligaments.
-
CPM prevents adhesions and joint stiffness.
-
CPM does not interfere with the healing of incisions over the moving joint.
-
The principle of rest for healing tissue is incorrect.
Evidence for clinical effectiveness of continuous passive motion on the process of healing is both subjective and objective. In various studies Dr. Richard Courts demonstrated that there is a reduction in postoperative pain and an increase in post total knee joint range following the use of continuous passive motion for several weeks. The decrease in pain experienced may be caused from the rhythmic joint movement providing competitive interference to retard the pain-spasm reflex and alleviate pain at the source. The increase in range of joint motion reported may be due to the improved orientation and strength of collagen fibers formed, preventing adhesions which would limit range without disturbing or causing damage to adjacent uninvolved normal structures.
Clinically, Salter has indicated CPM use immediately postoperatively for the management of open reduction internal fixation (ORIF) of the ankle, knee, hip, and elbow with usage ranging from one to three weeks. Decreases in wound edema, joint effusions, pain medications, and an increase in patient comfort and shorter hospital stays are documented as compared to non-CPM patients. Schnebel and Evans found that while active flexion is acquired earlier in CPM patients, there was no statistical difference in active flexion in late motion studies between CPM and non-CPM total knee arthroplasty patients.
Design
Continuous passive motion machines can be categorized in three groups by design: mattress mounted, bed frame mounted, and single joint units. Clinical use of continuous passive motion has primarily been utilized for mobilization about the knee and hip joint due to the mechanical design of the majority of motion devices, i.e. the mattress mounted units. These machines are similar in that the patient lies supine with thigh and calf held in the unit, and the knee and hip are mobilized simultaneously. (In these units the patient is unable to move about in the bed or make significant posture changes.) Ankle movement may also be provided. Some mattress mounted machines and their suppliers are:
Autoflex, Chattanooga Corp.
CAPE System, Zimmer
CK-7 Passive Motion Knee Exerciser, OEC
Danni-Flex, Danniger Medical Technology
Kinetec Passive Leg Exerciser, Richards
Powerflex 3000, Biodynamic Technologies of Florida
Stryker Leg Exerciser, Stryker
Sutter CPM 2000, Sutter Biomedical
The bed frame mounted units attach to standard overhead Bulkin frames and provide the versatility for mobilizing multiple joints. These systems are:
CPM K-10, Sutter Biomedical
Passive Mobilizer, 3D Orthopedic Inc.
Single joint units address specific joints of the body only. These are:
Miami Ankle Motion Machine, Zoya Orthopaedic
Kinetec Elbow Exerciser, Richards
CPM-5000, Sutter Biomedical
CPM Mobilimbs L1-A, Toronto Medical Corp.
Functional features of all systems vary from: microswitching to torque sensing, mechanical range setting to computer programmed, 110 volt to battery operated, patient controlled cycles to programmed cycles, and one speed to variable speeds. Yet all systems have been developed more from subjective than objective data. The questions of how much force, optimum speeds, duration of cycle, direction of pull/push/lift to the joint, control of joint motion, or should the joint be loaded or unloaded need to be addressed in order to quantify CPM and avoid the potential dangers of this modality.
Dangers exist when these systems are utilized by those unfamiliar with mechanical systems and/or the expectant results they are trying to obtain. The level of knowledge required varies, i.e. the mattress mounted units are limited in application and therefore are relatively simple. The multiple joint systems would require more expertise because of the increased options of use, the mechanical advantages gained with the use of pulleys and springs, and the variations of movements occurring about the anatomic joints. These systems tend to be more cost effective since their various uses can be applied to a greater patient population.
Two Year Experience
In our experience at a major trauma hospital, the need for versatility, ease of use, and reliability were of utmost importance. We utilized five machine designs over a two year period: Sutter K-10, CPM Mobilimb L1-A, Richards Passive Leg Exerciser, 3D Passive Mobilizer, and a home grown unit. All systems functioned very reliably. The Mobilimb unit had a rechargeable battery powered system which, for our use, proved to be the least practical.
The mattress mounted units were limited to mobilizing knees and hips, especially in cases of joint replacement. The trays to these units were cumbersome to housekeeping. The staff would take the tray off the bed to change linens, causing frequent malalignments when setting it back on the bed, usually due to fear of reapplying and/or the lack of understanding how the system functioned. Patient comfort was a major concern. If the patient was not comfortable in the system due to the physical design of the system or improper positioning in the unit, the staff would turn off the machine, thereby reaping no benefits. The tray would not fit properly if the patient was above or below the average height of five foot ten inches. These systems did not provide a recorder to document how long the patient had the system on or how many cycles the limb experienced.
Lack of full extention and flexion became another concern in our use of any of the units utilizing the tray that the leg simply laid in. Although the tray would indicate full extension, the leg would still be flexed, and usually abducted and externally rotated (Fig. 1).
Because of these reasons and the need to be able to utilize traction, cast braces, and rehabilitative orthotics with passive motion, we began using a home grown version utilizing the Sutter K-10 without the mattress mounted tray. Through the use of dynamic suspension, we could achieve full extension with the assistance of gravity, mobilize a patient in traction, maintain abduction and adduction, and set-up bilateral limbs with only one machine. This variation enabled the patient to move about in bed and provided easier bed pan use and overall more comfort. It won favor with our ancillary staff because there was nothing in their way to be moved or replaced (Fig. 2). In March 1984, we began using the Passive Mobilizer by 3 D Orthopedic Inc. This system had incorporated many of the features of our home grown unit with some significant improvements. The system provides a linear pull rather than the rotating arc of the Sutter K-10 so that flexion and extension limits are more easily controlled and eliminates the potential hazard of the rotating arm (Fig. 3). Also, the unit includes a cycle counter to document how many cycles the patient has experienced. These two additional features were found to be very useful in our practice.
Figure 2. Home grown unit using Sutter K-10 motor and control system.Figure 3. Patient with right acetabular fracture with 30 lbs. of tibial traction in continuous passive motion (3D Passive Mobilizer). Hip flexed 0-90° and kept abducted.
The use of passive mobilization should begin as soon as possible. The earlier the application, the better the results that can be anticipated. In the case of elective procedures, such as total joint replacements, the passive mobilization system should be set-up before surgery to familiarize the patient with the machine and its operation. At our center, the majority of the cases are trauma related and of a fracture variety. Patients are placed in passive motion postoperatively in the O.R., recovery room, or when transferred to the orthopedic floor. The unit is set to allow 30-40° of motion initially post-op with rapid increase of range of motion to tolerance.
In this two year experience, we have had 168 cases involving the use of continuous passive motion. These are broken down into three major categories:
Articular Fractures
Knee—79
Hip—17
Elbow—4
Ankle—3
Joint Replacement
Knee—14
Hip (Cup)—8
Other Knee Problems
Sepsis—20
Lig. Repair—12
Edema Control 6
Continuous passive motion was also applied to mobilize the cervical spine (in halter traction post soft tissue trauma), the shoulder (post manipulation or rotator cuff repair), and the lumbar spine (post laminectomy or decompression). These were not listed because the applications are still under evaluation.
Our goal in utilizing the modality of continuous passive motion is full range of motion. Initially we target for 0-40° of motion the first day, cycling the limb approximately one complete cycle per minute. Increase in ROM is aggressively addressed daily to pain tolerance. Since time minimums in CPM have not yet been established, patients are kept in passive motion except during meals, physical therapy, or bathroom use.
The goal established for ROM of the knee and hip is 90+°. It was felt that if the joint could go through a passive 0-90 +° range pain free, and prior to discharge 0-90+° active range, that normal knee and hip motion could be achieved on an out-patient basis with aggressive physical therapy. Many factors influenced the outcome. Patient compliance and willingness to participate in this treatment plan is a major factor. Competent application and training in the use of continuous passive motion is also critical to the outcome.
Cases
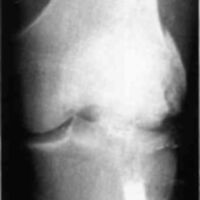
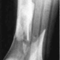
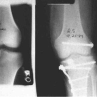
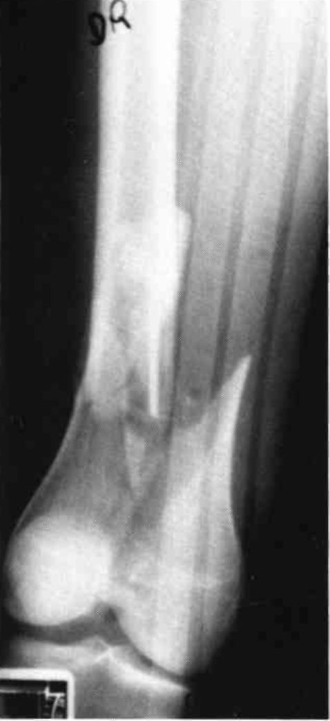
Case 1
A twenty-nine year old male sustained a high caliber gunshot wound to the left knee (Fig. 4), traversing the lateral femoral condyle through the joint space and through the lateral tibial plateau. Open reduction internal fixation (ORIF) and ligamentous repairs were made. Postoperatively, the patient was placed in a standard cast brace due to the inability to provide adequate medial-lateral stability of the knee surgically (Fig. 5). The cast brace was attached to a continuous passive motion dynamic suspension system to restore and maintain motion (Fig. 6). At the time of the initial cast bracing, the patient had considerable soft tissue edema about the knee. The use of passive motion quickly reduced that swelling to the point where the cast brace provided little support. After one week, the cast brace was reapplied with the addition of a varus producing strap (Fig. 7) and the patient began ambulation training and was discharged. (If atrophy or swelling should continue, the varus producing strap can be easily adjusted to maintain force on the knee and another cast change would not be required).
Case 2
A twenty-five year old female sustained a fracture dislocation of the left knee (Fig. 8). The fracture and ligaments were internally fixed, and the patient was placed in a continuous passive motion dynamic suspension system utilizing a Mobilizing Brace (3 D) and a bootie (Fig. 9). The patient achieved 0-90° of motion in two days and was maintained in passive motion for five days until she could achieve the same range of motion actively without excessive pain. The patient was then cast braced for increased medial-lateral stability, received gait training, and was discharged from the hospital.
Case 3
A nineteen year old male sustained a distal fracture with a split condylar fracture to the right leg (Fig. 10) and a lateral condyle fracture on the contralateral side (Fig. 11). Fractures were stabilized, but were not internally fixed at time of admission because of emergency vascular repairs being required. Three days post injury, the patient underwent ORIF of his fractures (Fig. 12 and Fig. 13). The right leg was placed in a free knee Mobilizing Brace and the left leg was placed in the rehabilitative free knee orthosis. A continuous passive motion dynamic suspension system was placed on the lower right extremity (Fig. 14). The lower left extremity had normal pain free motion following surgery. The patient was kept in passive motion for five days and achieved 0-100° of pain free motion. A cast brace was applied on the right extremity; the patient received gait training and was discharged.
Case 4
An eighteen year old male sustained bilateral femur fractures and bilateral patella fractures. The patient underwent bilateral closed inter-medullary (IM) rodding of the femur and the patellas underwent bilateral ORIF (Fig. 15 and Fig. 16). The patient was placed in a free knee Mobilizing Brace on the left leg and attached to a continuous passive motion dynamic suspension system immediately postoperatively. The right leg was maintained in a straight position and in a denotation boot to prevent the fractured femur from spinning on the IM rod. In two days, the left knee had 0-90° of pain free passive motion. Active motion on the right lower extremity was limited to 0-15° of motion. At that time, the patient's right leg was placed in a free knee Mobilizing Brace and bilateral passive motion begun (Fig. 17). Right leg motion progressed to 0-90° passive motion in four days, while the left leg was maintained in the 0-90° range. (This passive motion device, providing bilateral application from one power source, can be adjusted for varying degrees of motion independent of each other by varying the tension on the attachment lines.) Ambulation training began utilizing the bilateral Mobilizing Braces with drop locks in position (Fig. 18). The patient was fully ambulatory with this system, achieved full range of active motion in ten days, and was discharged. Passive motion was maintained for a longer period than normal due to the degree of articular damage to the patellas.
Summary
Passive range of motion has proven itself as a useful treatment modality for increasing or maintaining range of motion of the hip, knee, ankle, shoulder, and elbow. Clinically, we have observed improved wound healing and reduction of edema. Septic joints that are or have been opened and drained appear to clean up sooner than joints treated with only incision and drainage (I & D) and daily whirlpool. Patients are comfortable with reduced requests for pain medications. Patients also seem happier and this may be due to the fact that something is being done to help them get better on a continuous basis. Therapy time can now be devoted to improving muscle control and independent activity levels rather than painful ROM exercises.
Of the 168 cases presented in this paper, all but two patients did or would have benefited from passive mobilization. The degree of success depended to a large extent on patient compliance. All patients who cooperated with this treatment modality improved their motion and reduced their hospitalization with two exceptions.
One patient had undergone total knee replacement and was placed in CPM in the recovery room. Approximately 20° of motion was achieved initially. All attempts to increase her motion failed in that the 3D device would stall at a given point and reverse itself. The referring physician was contacted in order to report the difficulties. It was learned that the patient, some 40 years earlier, had undergone a spontaneous hip fusion probably due to infection. Conventional CPM can not be utilized for ROM of the knee if the hip is immobilized.
The second failure was with a young sickle cell disease patient also having severe sepsis of the knee. All attempts of passive mobilization were painful and limited to less than 30° of flexion. The patient underwent arthrodesis of the knee and was later discharged with granulating wounds.
Patients with fractures involving articular surfaces of the knee have done well with 0-90° of pain free active motion obtained in generally less than ten days. Depending on the degree of internal fixation or patient compliance, a cast brace was applied prior to discharge. As stated earlier, cast bracing and passive mobilization is a common treatment modality.
References:
- Burks. R.. Daniel. D,. and Losse. G.. "The effect of continuous passive motion on anterior cruciate ligament reconstruction stability." Amer. J. Sports Med., 212:323, 1984.
- Coutts, R.D., Toth C., and Kaita J.H., "The role of continuous passive motion in the rehabilitation of the total knee patient." Total knee arthroplasty-a comprehensive approach. Hungerford D. ed.. Baltimore: Williams & Wilkins, pp. 126-32. 1983.
- Dehne. E., Torp, R.P., "Treatment of joint injuries by immediate mobilization," Clin. Orthop. 77:218, 1971.
- Frank, C., Akeson, W.H., Woo, S.L.Y., Amiel, D., and Courts. R., "Physiology and therapeutic value of passive joint motion." Clin. Orthop., 100:113-125, 1984.
- Korcok, M., "Motion, not immobility, advocated for healing of synovial joints," J.A.M.A., 246:2005, 1981.
- Lynch, J.A., et al., "Continuous passive motion: A prophylaxis for deep venous thrombosis following total knee replacement," Scientific paper 143, AAOS 51st. meeting, 1984.
- Muller, "Influence of Training and of Inactivity on Muscle Strength." Arch. Phys. Med. Rehab., 51:449, 1970.
- Mooney, V., and Ferguson, A.B., "The influence of immobilization and motion on the formation of fibrocarti-lage in the repair granuloma after joint resection in the rabbit." J. Bone Joint Surg., 48A:1145, 1966.
- O'Driscoll, S.W., Kumar, A., and Salter, R.B., "The effect of continuous passive motion on the clearance of a hemarthrosis from a synovial joint: An experimental investigation in the rabbit," Clin. Orthop., 176:305-11, 1983.
- Perry, C.R., Evans, L.G., Rice, S., Fogarty, J., and Burdge, R.E., "A new surgical approach to fractures of the lateral tibial plateau," J. Bone J. Surg., 66A:1236, 1984.
- Richardson, W.J., and Garrett, W.E., Jr., "Clinical use of continuous passive motion," Contemp. Orthop., 10:75-79, 1985.
- Salter, R.B.: Presidential address, Canadian Orthopaedic Association, Halifax, N.S. J. Bone Joint Surg. 64B:251, 1982.
- Salter, R.B., and Hamilton, H.W., "Clinical application of basic research on continuous passive motion for disorders and injuries of synovial joints: A preliminary report of a feasibility study," J. Orthop. Research, 1:325-342, 1984.
- Schebel, B.E., and Evans, J.P. "The use of continuous passive motion in the rehabilitation of total knee artho-plasty," Scientific poster, AAOS 52nd meeting, 1985.
- Steinberg, F.U., The Immobilized Patient, New York, Plenum, 1980.
- Strang, E.L., and Johns, J.L., "Nursing care of the patient treated with continuous passive motion following total knee arthoplasty," Orthop. Nursing, 3:27-32, 1984.
*Dwain R. Faso, C.O. Dwain R. Faso, CO., Manager, Research and Development, 3D Orthopedics, 11126 Shady Trail, Dallas, Texas 75229.
Full Text PDF:
Figure 1:
Figure 2:
Figure 3:
Figure 4:
Figure 5:
Figure 6:
Figure 7:
Figure 8:
Figure 9:
Figure 10:
Figure 11:
Figure 12:
Figure 13:
Figure 14:
Figure 15:
Figure 16:
Figure 17:
Figure 18:
Review Status:
Citation
Dwain R. Faso, C.O. * Mel Stills, C.O. * , “Passive Mobilization: An Orthotist's Overview,” Digital Resource Foundation for Orthotics and Prosthetics, accessed December 14, 2025, http://23.254.134.177/the.oandplibrary.org/items/show/179565.
